My Daughter Dropped Out of College for a Boyfriend My Age – Until He Showed Up at My Door with Chilling Secrets.

I had always believed I had crafted a strong, independent life for myself and my daughter, Megan. Years of hard work had built a successful career, a cozy...

I didn’t adopt a child from an orphanage; I rescued a grandmother from a nursing home—and I don’t regret it.

When someone adopts a child, people usually beam with approval, nod with admiration, and sometimes even get teary-eyed. It’s seen as noble, moving, heartwarming. But what if I...

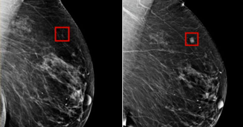
A new type of Artificial Intelligence can detect breast can.cer 5 years before diagnosis

  Researchers have introduced a new, interpretable model designed to predict five-year breast cancer risk from mammograms, according to a study recently published in Radiology. Breakthroughs in AI...

Donald Trump called out for ‘ultimate disrespect’ over two acts at Pope Francis’ funeral after ‘breaking dress code’

Donald Trump was among the many foreign dignitaries who traveled to Vatican City to pay tribute at the Pope’s funeral yesterday (26 April), but viewers were quick to...

Cancer Rates Are 82% Higher In Young Women Than In Men: ‘Something Broader Is Going On’

In recent years, cancer diagnoses in women under 50 have been climbing at a concerning rate—rising faster than in men of the same age group. According to the...

Queen Camilla admits ‘sadness’ for her and King Charles amid Italy trip

In this article, we’re shifting gears to highlight the bittersweet end of a memorable royal visit — one that Queen Camilla called “very sad” to leave behind. She...

For those who suffer from frequent constipation

In this article, we’re sharing a natural remedy that many people consider one of the most effective ways to relieve constipation. The best part? You can easily make...

Your Arthritis HATES These 9 Foods You Keep Eating – Find Out What They Are

Struggling with joint pain? These 9 common foods could be making your arthritis worse — cut them out for better movement and less inflammation. Managing arthritis is no...

Results of Donald Trump’s Annual Physical Examination Released by White House

Donald Trump has been declared in “excellent” physical and cognitive health following a medical examination at Walter Reed hospital near Washington, DC — his first official checkup during...

How Donald Trump’s Decision to B.u.r.y His First Wife on Golf Course Can be Connected to Money

When Ivana Trump died unexpectedly in 2022, few imagined her final resting place would be a golf course. But her burial at Trump National Golf Club in Bedminster,...